Page 18 - Proa11
P. 18

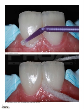
45. Eliminación de excesos.















































   18
   13   14   15   16   17   18   19   20   21   22   23