Page 18 - Proa10
P. 18

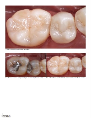
36 A .Restauraciones en amalgama antiguas en el 35 y 36 (situación inicial)  36 B. Restauraciones  en resina indirecta en el 35 y Restauración directa en el 36.






























   18
   13   14   15   16   17   18   19   20