Page 58 - Differential Diagnosis in Small Animal Cytology the Skin and Subcutis_Neat
P. 58
Inflammatory Lesions
45
(A) (B)
VetBooks.ir
(C) (D)
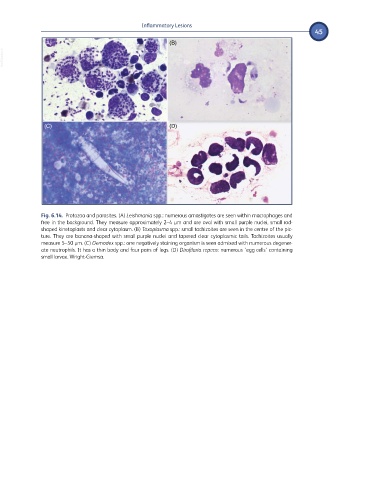
Fig. 6.14. Protozoa and parasites. (A) Leishmania spp.: numerous amastigotes are seen within macrophages and
free in the background. They measure approximately 2–4 μm and are oval with small purple nuclei, small rod-
shaped kinetoplasts and clear cytoplasm. (B) Toxoplasma spp.: small tachizoites are seen in the centre of the pic-
ture. They are banana-shaped with small purple nuclei and tapered clear cytoplasmic tails. Tachizoites usually
measure 5–50 μm. (C) Demodex spp.: one negatively staining organism is seen admixed with numerous degener-
ate neutrophils. It has a thin body and four pairs of legs. (D) Dirofilaria repens: numerous ‘egg cells’ containing
small larvae. Wright-Giemsa.

