Page 8 - Proa11
P. 8

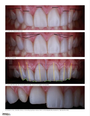
7. Armonía de márgenes gingivales.





















        8. Hay ritmo gingival.





















        9. Línea media desviada. Eje dental del 21 invertido. Ausencia de ángulos interincisales.




















        10. Dientes cortos, laterales cónicos, retracción gingival por sobrecontorno de la restauración preexistente. Sustrato favorable.

   8
   3   4   5   6   7   8   9   10   11   12   13