Page 6 - Proa20
P. 6

8                                                      9























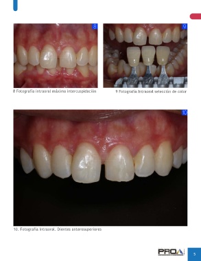
         8 Fotografía intraoral máxima intercuspidación                9 Fotografía Intraoral selección de color






                                                                                                                10










































         10. Fotografía Intraoral. Dientes anterosuperiores






                                                                                                                 Virtua  5
   1   2   3   4   5   6   7   8   9   10   11