Page 1296 - Veterinary Immunology, 10th Edition
P. 1296
VetBooks.ir
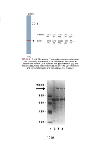
FIG. 39.3 The BLAD mutation. The mutation involves replacement
of a cytosine by a guanosine in the CD18 gene. As a result, an
aspartic acid residue (A) is replaced by a glycine residue (G). The
mutation occurs in a highly conserved region of the CD18 molecule
and prevents formation of a biologically active molecule.
1296

