Page 47 - Differential Diagnosis in Small Animal Cytology the Skin and Subcutis_Neat
P. 47

er 6
                                                        Chapt
              34

  VetBooks.ir































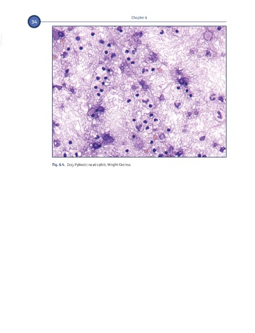
                       Fig. 6.4.  Dog. Pyknotic neutrophils. Wright-Giemsa.
   42   43   44   45   46   47   48   49   50   51   52