Page 50 - Differential Diagnosis in Small Animal Cytology the Skin and Subcutis_Neat
P. 50

Inflammatory Lesions
                                                                                             37

  VetBooks.ir























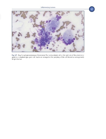
             Fig. 6.7.  Dog. Fungal granulomatous inflammation The multinucleated cell on the right side of the photomicro-
             graph is a Langhans-type giant cell. Nuclei are arranged at the periphery of the cell (horseshoe arrangement).
             Wright-Giemsa.
   45   46   47   48   49   50   51   52   53   54   55