Page 152 - Microsurgery
P. 152

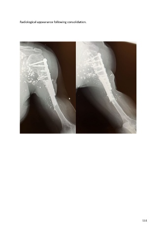
Radiological appearance following consolidation.







































































                                                                                                       151
   147   148   149   150   151   152   153   154   155   156   157